Afspraak maken? Bel 053-4336055 / 074-7920080
Toggle navigation
Welkom
Nieuws
Ons team
Om te weten
Eindfoto's patiënten
Video's
Praktijkvideo
Interviews
Behandeling
Behandeltraject
Retentie fase
Logopedie en orthodontie
Voor en na behandeling
Foto's voor en na
Videos voor en na
Aanmelden
Aanmelden eerste consult
Inschrijven
Medische Anamnese Senioren
Medische Anamnese Junioren
Financieel
Tarieven
Kosten
Vergoedingen
Declaraties
Klachten
Contact
Enschede
Foto's praktijk Enschede
Hengelo
Foto's praktijk Hengelo
Vacatures
Enquête
Links
Nooddienst
Foto's voor en na
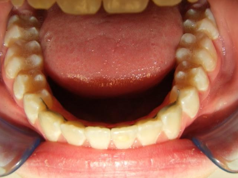
Behandeling Pam
Duur
-
Beschrijving
Leeftijd bij aanvang: 9 jaar
1-6 Bonded Hyrax + partieel vast onderkaak + TransForce
7-22 volledig vast onder- en bovenkaak + expander bovenkaak
Retentie: wrap + c-c bar
Leeftijd bij retentie: 11 jaar
Voor behandeling
Na behandeling